夫妻吵架醉酒丈夫挥刀断指 发生断肢情况的紧急处理方法
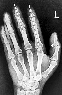
术后X光显示,骨骼对位良好。
夫妻俩吵架,不想男子冲动之下竟拿起菜刀将自己两根手指剁了下来。近日,河南三门峡市中心医院接到一自残断肢(指)病情,好在凭借大夫的精心手术,男子的双指再植成功,此时断指已离体超12小时。
危急
男子酒后与妻子吵架剁下两根手指
“当时现场一团糟,妻子手里的塑料袋里装着两截血淋淋的断指……”三门峡市中心医院骨科医院手足显微外科夜班医师王毅告诉大河报记者,上个月初的一天,凌晨2点多,该科室进来一对夫妻。男子饮酒后已经醉醺醺了,受伤的是其左手的食指和中指,指骨外露、鲜血淋漓。其妻子称,深夜丈夫醉酒回家,两人吵架时,丈夫冲动之下进厨房拿起菜刀把自己的食指、中指剁了下来。
之后,该科副主任医师卢微波闻讯赶到,决定先将装在塑料袋中的两截断指做冷藏处理,为断指成功再植创造条件,然后再为其止血包扎,进行药物醒酒,同时做着手术前的准备。
“根据当时的情况,我们必须先稳定住他情绪。”卢微波说,若对方抗拒,且在醉酒情况下麻醉,极易引起胃内食物误吸,导致窒息甚至死亡,因而他们决定先为其醒酒。经过漫长的3个小时,该男子逐渐清醒,经过劝说最终同意手术。而此时,断指已经离体8小时。
“断指再植能否成功,医疗技术是一方面,断指离体时间也至关重要。临床常规认为断指离体时间一旦超过8小时,多不建议再植。”卢微波介绍说,但他考虑到该男子依然年轻,决定做这个手术。
小知识:
发生断肢(指)情况的紧急处理方法
卢微波通过大河报提醒,发生断肢(指)情况后要保持镇定,断肢(指)残端如有出血,应先止血。断肢(指)体不要私自清洗,需要低温冷藏保存,可将断肢(指)先用相对干净的棉布包裹后周围放上冰块、冰棍或雪糕,和病人一同及时转送附近有再植资质的正规医院。断肢(指)离体时间也至关重要,临床常规认为一旦超过8小时,多不建议再植。
此外,需要注意的是,断肢(指)不可直接与冰块或冰水接触,以防冻伤变性。也禁忌将断肢(指)直接浸泡于酒精内。
困难
寻找断指的血管和神经,像在沙堆里找米粒
凌晨5点30分,男子被推进手术室。
全身麻醉后,卢微波带领主治医师白绍元和住院医师王毅在10倍显微镜下,开始首先寻找断食指两端的神经和血管。
卢微波说,按照常规,断指再植只用接活3根血管和2根神经就算成功。但为了让该男子术后手指功能更好,卢微波和手术团队解剖出断指的5根血管和4根神经。
“血管的直径为0.5毫米,神经的直径为1毫米,找起来也特别费劲。”卢微波说,除此外,血管和神经残端的颜色和周围的肌肉组织极其相似,解剖寻找过程,就像在沙堆里刨几颗米粒一样艰难。
最终,卢微波和团队找好了需要的血管和神经,做好标记后,开始固定食指骨骼、吻合肌腱,最后在显微镜下用直径20微米的无创显微缝合线开始吻合血管和神经。
在经过两个多小时手术后,早上8时许,卢微波下令松止血带,数十秒后男子苍白的食指逐渐红润起来,食指在离体10个小时后恢复血运。
紧接着,卢微波又开始中指再植手术。上午10时许,中指在离体12小时后也成功恢复血运。
【关注微信公众号:石化宝(bweipan)手机也能炒白银原油,仅需8元即可参与,快来试试吧】
原标题:夫妻吵架醉酒丈夫挥刀断指 发生断肢情况的紧急处理方法
-
无相关信息











