脸歪嘴斜外 健忘也是中风徵兆
中风不一定脸歪嘴斜,突然健忘也是徵兆!台中沙鹿光田综合医院大甲分院神经外科主任林牧熹说,有患者觉得自己忘东忘西、反应慢,以为是年纪大不以为意,直到走路不稳出问题才就医,检查出「小洞性梗塞」,这类小中风在门诊中佔三成,常被误以为健忘。

林牧熹说,大多数民众只关注到中风会脸歪嘴斜,忽略小中风,门诊约有2至3成病患是罹患属小中风的「小洞性脑梗塞」,发生在脑部末梢小血管出现阻塞,但阻塞时间短暂,病人很多没感觉不适,但对脑部已造成伤害。
林牧熹说,民众要多留心身边家人状况,尤其是老人家和三高族群,如有突然健忘、走不稳或头晕就要就医,避免小洞性梗塞积年累月变成失智、水脑或严重脑中风的重大疾病。
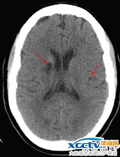
断层扫描可见脑部有小黑洞(箭头指处),所以称小洞性脑梗塞。
光田医院提供

林牧熹主任为患者检查。
光田医院提供(非当事人)
原标题:脸歪嘴斜外 健忘也是中风徵兆
>更多相关文章
-
无相关信息
24小时热门资讯
热门推荐
酷图美文











